图片展示
031166106528
图片展示

癌细胞“清零”!66岁癌症晚期,无法手术,依靠免疫疗法重获新生

浏览:318发表时间:2025-08-15 10:33

01

66岁的李某退休后,原本过着和大多数老年人一样的休闲生活,但在19年年初出现胃口不佳,时有反胃恶心等肠胃不适症状,体重也莫名其妙掉下来,短短一个月就瘦了10斤,老伴察觉异常,但李某却不当回事。

半年后,原本140斤的李某瘦得只剩下100斤左右,加之腹痛难忍、进食困难,才前往浙江大学医学院附属第一医院胃肠外科就诊,最终确诊胃窦癌晚期并已转移到后腹膜淋巴结和侵犯胰腺,而这也表明李某不适宜立即开刀手术。

胃肠外科医生对李某的病情进行了详细的评估,并建议李某采取免疫疗法+化疗的组合治疗方式。虽然治疗过程中李某恶心呕吐乃至吃不下饭,但值得庆幸的是,一个月后体内腹膜淋巴结显著缩小,而这也为外科手术提供了最好的机会。

更让人惊喜的是,手术切除的肿瘤经病理化验发现已无癌细胞残留,这表明李某体内的癌细胞经过免疫疗法治疗后,已经全部被“清零”,医生说这是十分少见的。

如今的李某虽仍要服用药物,但面色不错,声音更是爽朗,谁也想不到曾倍受胃癌晚期折磨的李某竟因免疫疗法而重获新生!

02

《自然》子刊《Nature Medicine》所刊登的一项研究,记录了一位晚期乳腺癌患者被免疫疗法“拯救”的案例。

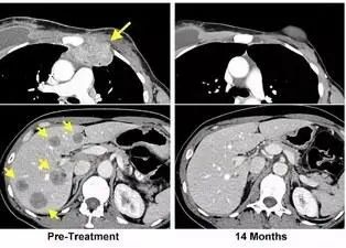
我们知道,乳腺癌早期确诊并积极接受治疗,仍有很高的治愈率,但对于结构工程师Judy来说,她的乳腺癌却发现在晚期,检查时已出现癌细胞转移扩散的情况,就连肝脏等重要器官上也有网球般大小的肿瘤,这样病重的Judy难道真的只剩下三个月的时间吗?

美国国家癌症研究所的免疫专家没有放弃Judy,他们对Judy实施了免疫疗法的治疗手段,而回输到Judy体内的900亿个免疫细胞也发挥作用,Judy体内的肿瘤细胞逐渐缩小甚至完全消失了!免疫疗法又再一次胜利!

黄色箭头为治疗前肿瘤位置,治疗结束14个月后复查显示:肿瘤完全消失

免疫疗法成癌症病人新希望

免疫疗法的出现彻底改变了全人类对抗癌的格局,James Allison教授与本庶佑教授在免疫疗法上的开拓性的贡献也帮助他们摘得了诺贝尔生理学或医学奖

免疫疗法是实则上就是通过增强患者体内的免疫系统以达到清除肿瘤细胞的一种对抗癌症的治疗手段,虽然早期免疫疗法被认为是一种伪科学,但不断发展下也成为癌症病人的新希望。目前免疫疗法分为过继细胞疗法、免疫检查点阻断剂、非特异性免疫激活剂以及癌症疫苗这四种。

免疫疗法虽好,并非人人适用

以免疫疗法中的PD-1抑制剂为例已获批了17项适应症,包括肺癌、胃癌、肝癌、肾癌、黑色素瘤、霍奇金淋巴瘤、头颈鳞癌、膀胱癌、结直肠癌、等多个瘤种,尤其对复发以及难治性的癌症肿瘤治疗有突破性的疗效。

然而免疫疗法不是万能药。山东省肿瘤医院于金明院士就曾在第十五届国际络病学大会上指出“免疫治疗不是万能神药,如有的高龄危重病人根本承受不住。”

免疫疗法虽然是治疗癌症的新手段但是仍有局限性,比如免疫疗法会引发一系列副作用,甚至某些极为微小容易被忽视的副作用可以迅速恶化,比如细胞因子释放综合征会带来让患者出现严重高热血压骤降以及呼吸困难等危险。

免疫细胞治疗的主要类型有哪些?

CAR-T细胞疗法:通过改造T细胞,使其表达嵌合抗原受体(CAR),能够特异性识别并攻击癌细胞,尤其在治疗血液肿瘤(如白血病、淋巴瘤)时具有显著效果,但对实体瘤渗透性差,且可能引发细胞因子释放综合征或神经毒性。

TIL疗法(肿瘤浸润淋巴细胞疗法):从肿瘤组织中提取T细胞,体外扩增后回输,增强其对实体瘤(如胃肠癌、黑色素瘤、宫颈癌)的杀伤力,已在晚期乳腺癌等疾病中实现长期缓解。

NK细胞疗法:利用自然杀伤细胞的先天免疫功能,安全有效地清除癌细胞,还可用于抗衰老和治疗炎症及代谢疾病。

树突状细胞疫苗(DC疫苗):通过树突状细胞呈递肿瘤抗原,激活T细胞攻击癌症,适用于前列腺癌、胶质瘤等。

TCR-T细胞疗法:通过改造T细胞受体,增强其对肿瘤抗原的识别,适用于治疗某些实体瘤。

此外,还有CIK细胞疗法以及药物性免疫调节剂(如PD-1抑制剂),它们通过增强免疫细胞的广谱抗肿瘤活性或解除肿瘤对免疫系统的抑制,帮助提高治疗效果。

免疫细胞治疗广泛适用于癌症(如血液肿瘤、肺癌、胃癌、黑色素瘤等)及其他疾病(如病毒感染、自身免疫性疾病、抗衰老干预等)。

免疫细胞治疗方法具有巨大的潜力,由于疗效存在个体差异,需严密监控副作用,因此在选择治疗方案时需结合患者的免疫状态和具体疾病情况进行临床评估。

参考资料:
1.《癌细胞“清零”?胃癌晚期的杭州大伯靠这项技术重获新生》,浙江新闻-浙大一院,2020-12-14
2.《重大突破!《自然》杂志:T细胞免疫疗法完全治愈晚期癌症》,MedSci主页-肿瘤科,2020-05-21
3.《肿瘤免疫疗法先驱获2018年诺贝尔生理学或医学奖》,MedSci主页-肿瘤科,2018-10-01
4.《癌症免疫疗法,真的是“万能神药”吗?背后这些争议不能忽视...》,21世纪经济报道,2019-03-02

—————————

河北可奇生物科技有限公司(简称:可奇生物)是一家专注于免疫细胞治疗技术研发的高新技术企业。公司在TILs、CAR-T、CAR-NK、TCR-T、NK、NKT、CIK、γδT、DC、CTL、MSC以及MSC+PRP等领域具有深厚的研究基础和技术优势。

图片

可奇生物致力于开发创新性细胞治疗产品,涵盖肿瘤免疫治疗、抗感染免疫及再生医学等多个方向。通过持续的技术突破和临床转化,公司为重大疾病的治疗提供了前沿的解决方案,推动细胞治疗技术的广泛应用与发展。

咨询入组电话:0311-66106528

图片
图片


图片展示

电话:031166106528

地址:河北省石家庄市新华区677号丽景国际

图片展示

© 河北可奇生物科技有限公司 版权所有 All Right Reserved.

备案号: 冀ICP备2023032123号-2 

电话:031166106528

邮箱:keqi@keqishengwu.com

地址:河北省石家庄市新华区677号丽景国际

图片展示

© 河北可奇生物科技有限公司 版权所有 All Right Reserved.

在线咨询

您好,请点击在线客服进行在线沟通!

联系方式
热线电话
031166106528
上班时间
周一到周五
扫一扫二维码
二维码